Появление грибка в организме человека, его признаки и лечение, зависят от многих факторов. Но основным является падение уровня иммунитета. Грибковая инфекция может поразить как внутренние, так и наружные органы. Болезнь может возникнуть под воздействием плесени, дрожжей, кожных грибов и других грибковых организмов. Ниже будут описаны общие признаки развития грибка у больных и методика лечения болезней, вызванных грибковыми инфекциями.

Оглавление
Симптоматика грибкового поражения
Признаки болезни зависят от того, какой тип заболевания развился у больного. Если это поверхностное поражение, то обычно симптомом такого недуга является развитие грибка на кожных покровах, ногтевых пластинах или слизистых структурах человека:
- Если недуг дал покраснение на коже или слизистых, то заболевание вызвано воспалительным процессом, который возник под действием грибков кандидоза или трихофития.
- Еще один признак болезни – зуд в местах, где поражение достигло максимума. Он может быть нестерпимым, увеличивающимся в ночное время (трихофития).
- Грибковая инфекция может вызвать проблемы с ростом волос или привести к их выпадению. Такое бывает при поражении стригущим лишаем.
- Кожа начинает шелушиться под воздействием роста грибков. Погибают клетки эпидермиса, а это приводит к накоплению отмерших фрагментов и развитию гиперкератоза (трихофития).
- Нарушается форма ногтей, они утолщаются, их хрупкость увеличивается. Это происходит из-за развития гиперкератоза.
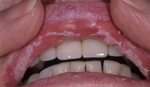
Если под удар попали слизистые структуры, то на них появляется творожистый налет белого цвета. Воспалительный процесс вызывается грибками молочницы (кандидоза).
Признаки системного поражения внутренних органов грибковой инфекцией:
- Сильный кашель возникает при поражениях грибками легкого. Это случается наиболее часто при аспергиллезе и подобной ему инфекции. Кашель чаще всего бывает сухим, он мучает человека длительный период.
- Нарушается сердечный ритм больного.
- Появляются симптомы почечной недостаточности.
- При появлении грибка в крови и его распространении по всему организму у больного фиксируется лихорадка.
При любом подозрении на наличие грибковой инфекции надо обратиться за помощью к врачу. Промедление приведет к переходу болезни в хроническую стадию, что увеличит сроки лечебного курса.
Диагностика грибковых инфекций
Из-за того, что есть большие различия в структуре грибка и болезнетворной бактерии, различается их жизнедеятельность, методика диагностики грибковых инфекций имеет свои особенности. На первом этапе проводятся визуальный осмотр пациента, запись его жалоб, сбор анамнеза.
Затем начинаются лабораторные исследования. Например, при кандидозе берутся образцы налета и исследуются под микроскопом. Для обнаружения грибков применяется специальный люминесцентный источник света. Под его воздействием кожный грибок дает синий отсвет.
Грибки можно обнаружить при помощи методики ПЦР. Используется и метод проращивания взятых образцов в питательных средах, который помогает идентифицировать тип паразита, а затем определить его чувствительность к различным лекарственным препаратам. Полученные результаты позволяют выбрать те медикаменты, которые подавят грибковую инфекцию в кратчайшие сроки.
Если больного поразила системная грибковая инфекция, то возможно применение рентгена для обнаружения изменений в легочной ткани пациента (на снимке легкого четко видны затемнения). Иногда может быть использована компьютерная томография, особенно на первых стадиях заболевания, когда изменения малы по объему.
При диагностике детей и беременных женщин на наличие грибковых поражений чаще всего применяется УЗИ. Хотя этот метод имеет меньшую информативность, чем рентген или КТ, он более безопасен.
В некоторых случаях используется серологический метод. Определяются антитела к тому или иному виду грибка. По увеличению титра антител следят за активностью процесса распространения инфекции, определяют тип паразита.
Методика терапии грибковых заболеваний
Лечить подобные инфекции можно с помощью специальной комплексной методики. В нее входит использование различных препаратов и средств народной медицины. Это позволяет уничтожить развившуюся грибницу в достаточно короткие сроки. Лучше всего, если болезнь диагностирована в начальной стадии. Тогда грибки можно сравнительно быстро уничтожить. В тяжелых случаях возможна госпитализация больного.
Если поражены наружные органы, то врач выписывает больному различные мази, лосьоны, растворы. Чаще всего используются Клотримазол, Миконазол, Микосептил, Пифамуцин и другие подобные препараты. Их рекомендуется употреблять и после устранения основных признаков болезни на протяжении 30 дней.
Для системной терапии грибковых недугов используются таблетки и растворы для внутривенного вливания. Если положение слишком тяжелое, то может быть использован капельный метод вливания противогрибковых препаратов. Чаще всего для лечения применяют Нистатин и подобные ему лекарства.
В случае системного поражения грибками может быть применено очищение организма больного от токсинов и грибков. Для этого применяется внутривенное и капельное вливание Реосорбилакта, физиологического раствора и других сорбентов и содержащих соли составов. Врач может рекомендовать больному принимать медикаменты, повышающие уровень иммунитета, например, Лаферобион, Тимин и т. д. Для восстановления нормальной деятельности внутренних органов используются лекарства для улучшения кровотока в почках, препараты, регулирующие деятельность сердечной мышцы.
Процесс лечения от грибка довольно длительный. Прерывать его нельзя, иначе болезнь вернется. Вместе с лекарствами, которые выписывает врач, можно использовать и рецепты различных народов, позволяющих избавиться от грибка. Но перед этим надо пройти обследование на отсутствие аллергии к используемым средствам и их компонентам. Надо проконсультироваться с лечащим врачом, т. к. применение народных средств должно проходить параллельно с официальным курсом терапии. Народными средствами можно избавиться от грибка только на первых стадиях заболевания.
Рецепты народной медицины
Для устранения грибка ногтей или кожного недуга чаще всего используют различные отвары, ванночки и примочки на основе лечебных растений и их компонентов. Хорошо против грибка ногтей применять такие вещества, как:
Отвары ромашки и календулы.- Примочки и ванночки с дубовой корой.
- Раствор натурального уксуса.
Отвар ромашки можно получить, если купить в аптеке засушенное растение. 2 ст. ложки с этой смесью заливают 200 мл кипятка. Настаивать препарат надо 30 минут, процедить. Можно сделать примочки, для этого рекомендуется получившийся раствор набрать на ватку, а затем нанести на пораженные ногтевые пластины. Чаще полученный отвар заливают в ванну с теплой водой (40°С). В ней больной должен пробыть 15 минут. После этого он насухо вытирает ноги, надевает чистые носки. Рекомендуется делать процедуру перед отходом ко сну.
Если используется кора дуба, то ее измельчают, а затем насыпают в ванну с теплой водой. Лечение проводится так же, как и в случае употребления ромашки. Можно совместить оба компонента в одной ванне.
Наиболее эффективным средством считается уксус. С его помощью делают примочки и ванночки против ногтевых грибков. Для лечения хорошо подходит 70% эссенция, которую разбавляют водой до получения 9% уксусного раствора. Вначале делается ванночка, в которой больной должен продержать ноги или руки на протяжении 15 минут, а затем ополаскивают пораженные места теплой водой. Человек сушит ноги (руки), а затем на ногти наносит ваткой уксус. Лучше делать это перед сном, так как рекомендуется надеть пациенту носки, промоченные в уксусе, которые он должен снять только утром. Такие процедуры надо повторять 3 раза за 7 суток.
Можно сделать домашнюю мазь на основе уксуса. Для этого берут 70% эссенцию, смешивают ее с диметилфталатом, глицерином и растительным маслом, например, оливковым. Соотношение 2:1:1:1. Все компоненты тщательно перемешивают до получения однородной массы. Такая мазь хранится долго.
В народной медицине используется йод, который легко купить в аптеке. Главное, чтобы у человека не было непереносимости этого вещества. Лекарство мажут на пораженные грибками ноги на протяжении 7 дней. Делать это надо осторожно, иначе йод может вызвать болезненные ожоги. Если грибок за указанный срок не исчез, лучше обратиться к врачу.
Профилактика грибковой инфекции
Вместе с лечением больному надо выполнять некоторые рекомендации, которые помогут быстрее избавиться от болезни. Перед использованием какого-либо лекарства для борьбы с кожным или ногтевым грибком надо пораженные места хорошо промыть с хозяйственным мылом. Рекомендуется менять носки после каждой процедуры. Лучше не носить обувь из кожи. Ее заменяют резиновыми тапочками.
Больной должен иметь отдельные средства личной гигиены, мыть руки после посещения транспорта и общественных мест. Для устранения кандидоза при половом акте рекомендуется использовать презерватив. Это обезопасит женщину от развития молочницы, проникновения грибка во влагалище.
Пациент должен иметь упорядоченный режим труда и отдыха, сон длительностью около 8-9 часов. Для поддержки иммунитета ежедневное меню должно содержать необходимое количество питательных веществ и витаминов. Особенно это важно в периоды авитаминоза (весной и зимой). Пациент должен избегать стресса. Нельзя допустить инфицирование вирусом гепатита, т к. на фоне поражения грибком это может привести к серьезным осложнениям. Надо помнить, что грибковая инфекция быстро переходит в хроническую форму, поскольку иммунная системе человека не в состоянии справиться с ней. Поэтому профилактические меры важны не только для больных, но и для здоровых людей.
Warning: A non-numeric value encountered in /var/www/potlivost.ru/data/www/potlivost.ru/wp-includes/media.php on line 457
Warning: A non-numeric value encountered in /var/www/potlivost.ru/data/www/potlivost.ru/wp-includes/media.php on line 467
Как лечить грибок ногтей у детей
Warning: A non-numeric value encountered in /var/www/potlivost.ru/data/www/potlivost.ru/wp-includes/media.php on line 457
Warning: A non-numeric value encountered in /var/www/potlivost.ru/data/www/potlivost.ru/wp-includes/media.php on line 467
Как лечить грибок ногтей при беременности?
Warning: A non-numeric value encountered in /var/www/potlivost.ru/data/www/potlivost.ru/wp-includes/media.php on line 457
Warning: A non-numeric value encountered in /var/www/potlivost.ru/data/www/potlivost.ru/wp-includes/media.php on line 467
Что такое грибок стопы

Если под удар попали слизистые структуры, то на них появляется творожистый налет белого цвета. Воспалительный процесс вызывается грибками молочницы (кандидоза).
Отвары ромашки и календулы.
(голосов: 2, средняя оценка: 4,50 из 5)